Жителя Кировского округа обвиняют в жестоком обращении с животным. Подробности рассказали в полиции Ставрополья.
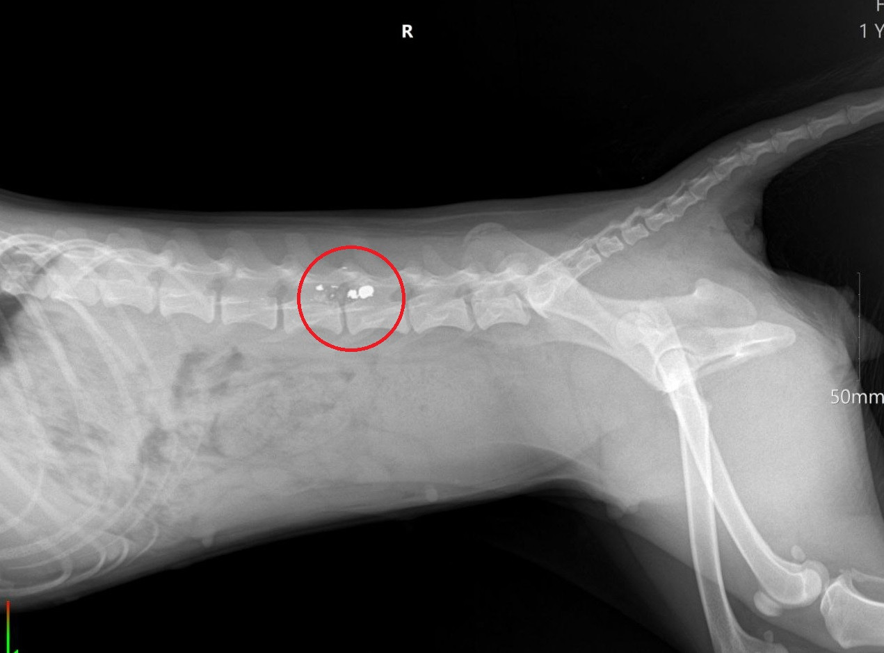
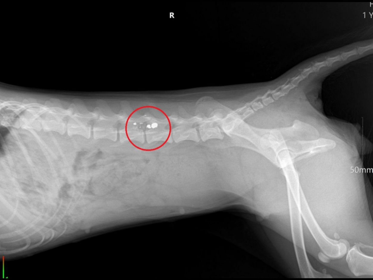
В конце октября в дежурную часть окружного отдела МВД поступило сообщение от 45-летней жительницы села Горнозаводского. Женщина сообщила, что мужчина выстрелил в ее собаку, и всё это произошло на глазах у детей.
Правоохранители прибыли на место случившегося и нашли подозреваемого. Им оказался местный житель. На допросе мужчина пояснил, что собака неоднократно душила его кур, которые свободно гуляли на улице. А еще он посчитал животное бездомным. Увидев собаку вновь возле своих птиц, мужчина взял винтовку и выстрелил.
Хозяева доставили собаку в ветеринарную клинику. Врачи диагностировали травмы, которые привели к параличу задних лап.
Расследование уголовного дело завершено, материалы направили в Кировский районный суд для рассмотрения по существу.
Ранее житель Кисловодска убил собаку муляжом японского меча.












